Dental Veneers in Salt Lake City, UT

Our cosmetic dentist may recommend dental veneers to renew your smile and give you the look you desire. Your veneers are made of porcelain, giving you a natural, aesthetic look that you can feel confident in sharing with others. We welcome you to call Warr Dental today at 801-355-5385 to schedule your consultation with Dr. Keith Warr or Dr. Margaret Hyams and learn more about dental veneers in Salt Lake City, UT!
Welcome to Warr Dental, your premier destination for enhancing your smile with dental veneers. As the leading cosmetic dentist in Salt Lake City, we take pride in delivering top-notch dental solutions that not only improve aesthetics but also provide immense value to our patients’ overall oral health.

What are Dental Veneers?

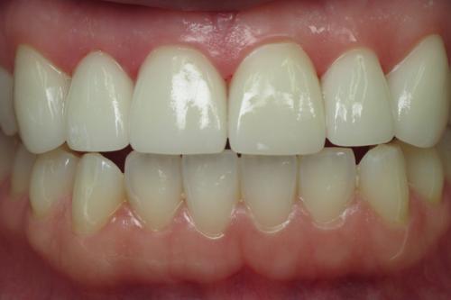
Dental veneers are a popular cosmetic dentistry treatment that can transform your smile dramatically. Crafted from thin, durable porcelain shells, veneers are custom-made to fit perfectly over your natural teeth, providing an instant and long-lasting improvement in appearance. Our team of skilled professionals has extensive experience in designing and placing veneers, ensuring that your smile makeover is efficient, comfortable, and exceptional.

Why Veneers Are Popular

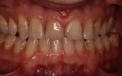
So, what sets dental veneers in Salt Lake City, Utah, apart? First and foremost, veneers offer a significant advantage in correcting a variety of dental imperfections. Whether you’re dealing with chipped, cracked, stained or misaligned teeth, veneers can effectively address these issues, providing you with a flawless and harmonious smile. By opting for dental veneers, you can regain your self-confidence and enjoy a brighter, more youthful smile that leaves a lasting impression.Beyond their cosmetic appeal, dental veneers offer numerous other benefits that go beyond mere aesthetics. These ultra-thin shells are exceptionally durable and resistant to staining, ensuring that your investment in a beautiful smile remains vibrant and long-lasting. Additionally, dental veneers are customizable, allowing you to choose the shade and shape that best complements your facial features, providing a natural-looking result that seamlessly blends with your existing teeth.

What Sets Our Dental Practice Apart from Others

Our dentists and team prioritize the comfort and satisfaction of our patients. We will guide you through every step of the veneer process, from the initial consultation to the final placement and post-treatment care. We understand that every patient is unique, which is why we offer personalized treatment plans tailored to your specific needs and expectations. Rest assured that your dental veneer procedure will be precise, efficient, and completed with the utmost attention to detail.If you’re ready to transform your smile and experience the benefits of dental veneers, contact Warr Dental today to schedule your consultation. Let our talented team of professionals help you achieve the stunning smile you deserve. Trust in Warr Dental, the leading cosmetic dentist in Salt Lake City, UT, to deliver remarkable results that will leave you smiling with pride.

Dental Veneers FAQ

Who is a good candidate for dental veneers?Good candidates for dental veneers typically include individuals looking to correct cosmetic issues such as severe discoloration, chips, gaps or misaligned teeth. Ideal candidates should have healthy gums and sufficient tooth enamel, as a small amount is usually removed during the process.
Can veneers match the color of my other teeth?Absolutely. Dental veneers are custom-made to match the color of your surrounding teeth for a seamless and natural appearance. If you are considering whitening your teeth, it is recommended to do so before getting veneers so they can be matched to the brighter color.
What are the differences between porcelain and composite resin veneers?Porcelain veneers are known for their durability and resistance to stains compared to composite resin veneers. They also mimic the light-reflecting properties of natural teeth better. Composite veneers are less expensive and require less tooth enamel removal, but they may not last as long and are more prone to staining.
How much do dental veneers cost?The cost of dental veneers varies depending on factors like the material used (porcelain or composite), the number of teeth being treated and geographical location. Porcelain veneers tend to be more expensive than composite because of their longer lifespan and aesthetic quality.
Are there any risks associated with dental veneers??The risks are minimal but can include sensitivity to hot and cold due to enamel removal, and the potential for the veneers to chip or detach, especially if you grind your teeth, chew on hard objects or suffer from an uneven bite. A consultation with our cosmetic dentist can help minimize these risks.
How long do dental veneers last, and can they be replaced?With proper care, porcelain veneers can last between 10 to 15 years, while composite resin veneers typically last between five to seven years. Veneers can be replaced if they chip or wear down; however, the process is the same as the initial placement, requiring removal of the old veneer and fabrication of a new one.